

当院では、歯並びだけを見るのではなく噛み合わせや歯周組織の状態も確認したうえで、
その方にインビザライン治療が本当に適しているかを丁寧に判断しています。
これらの活動を通じて得た知見を、日々のインビザライン治療にも活かしています。
歯並びのこと、ずっと気になっているけれどなかなか一歩が踏み出せない方へ

あじおか歯科クリニックの矯正治療は、見た目を整えるだけではなく、「噛み合わせ」の改善も行い、歯への負担も減らします。ご自身の歯の健康を守るため、あなたにとって本当に必要な、無理のない矯正をご提案します。
インビザラインは、透明なマウスピースを定期的に交換しながら歯並びを整える矯正治療です。取り外しができるため、食事や歯磨きはいつも通り。透明な装置なので、周りから気づかれにくいのが特徴です。現在、全世界100ヵ国以上で1,700万人を超える方々に選ばれている、世界標準の矯正治療法です。
装着していることがほとんど分かりません
食事や歯磨きはいつも通りに
ワイヤー矯正に比べて痛みを軽減
ご自宅でマウスピース交換可能
医療用プラスチック素材を使用
3Dシミュレーションで確認可能
複雑な歯並びにも対応できます
取り外して歯磨きができるため衛生的
あじおか歯科クリニックでは、歯並びだけを整えるのではなく、
噛み合わせや歯ぐきの状態も確認したうえで、インビザライン治療が適しているかを判断しています。
※治療内容・期間・効果には個人差があります。
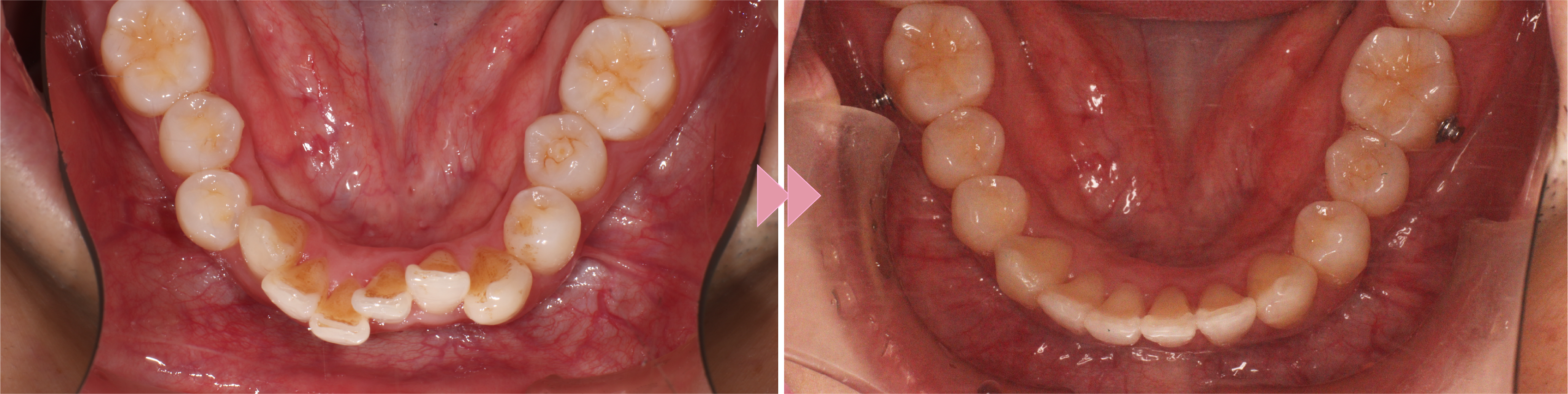
症例1

| 性別・年齢 | 女性・39歳 |
|---|---|
| 治療内容 | インビザライン(コース:コンプリヘンシブ) |
| 金額 | 1,177,000円(税込) 抜歯4本、アタッチメント装着•除去、固定装置含む |
| 治療期間 | 2年8ヶ月 |
| 来院理由 | 定期検診 |
|---|---|
| 施術に伴う 副作用 (リスク) |
・歯の移動に伴い、痛みや違和感を生じることがあります ・装着時間が不足すると、治療計画通りに進まない場合があります ・歯並びや噛み合わせの状態により、治療期間が延びることがあります ・症例写真は治療結果の一例であり、効果には個人差があります |
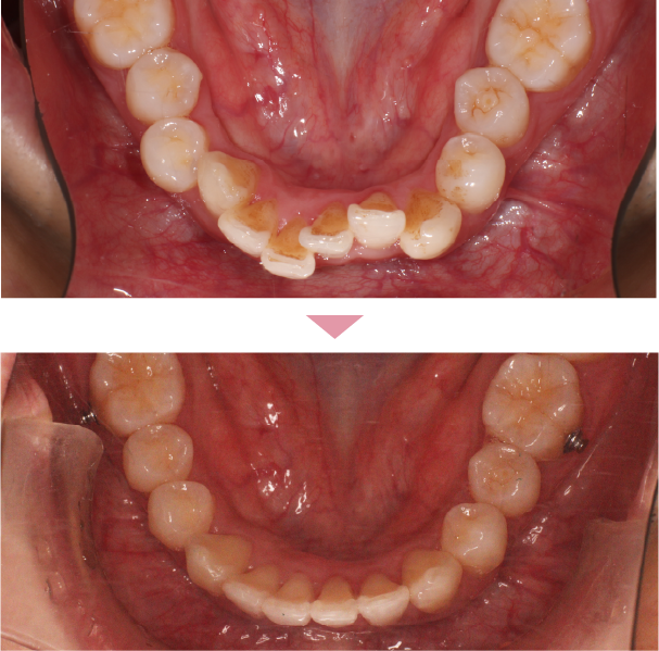
症例2

| 性別・年齢 | 女性・27歳 |
|---|---|
| 治療内容 | インビザライン(コース:ライト) |
| 金額 | 440,000円(税込) 固定装置含む |
| 治療期間 | 4ヶ月 |
| 来院理由 | 虫歯治療 |
|---|---|
| 施術に伴う 副作用 (リスク) |
・歯の移動に伴い、痛みや違和感を生じることがあります ・装着時間が不足すると、治療計画通りに進まない場合があります ・歯並びや噛み合わせの状態により、治療期間が延びることがあります ・症例写真は治療結果の一例であり、効果には個人差があります |
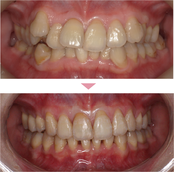
症例3

| 性別・年齢 | 男性・36歳 |
|---|---|
| 治療内容 | インビザライン(コース:コンプリヘンシブ) |
| 金額 | 1,017,500円(税込) ※アタッチメント装着•除去、固定装置含む |
| 治療期間 | 2年3ヶ月 |
| 来院理由 | 定期検診 |
|---|---|
| 施術に伴う 副作用 (リスク) |
・歯の移動に伴い、痛みや違和感を生じることがあります ・装着時間が不足すると、治療計画通りに進まない場合があります ・歯並びや噛み合わせの状態により、治療期間が延びることがあります ・症例写真は治療結果の一例であり、効果には個人差があります |
あじおか歯科クリニックでは、歯並びだけを見るのではなく、
噛み合わせや歯ぐきの状態も確認したうえで、インビザライン治療を進めています。
歯並びや噛み合わせについて、現在のお悩みやご希望を伺います。インビザライン治療が適しているかどうかも含めて確認し、治療の流れや費用について丁寧にご説明します。
※ 無理に治療をすすめることはありません。
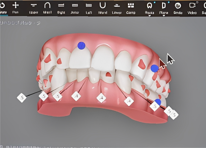
口腔内スキャナーやレントゲン撮影などを行い、歯並び•噛み合わせ•歯ぐきの状態を詳しく確認するための資料を撮影します。
※3Dシミュレーションの作成には約3週間ほどお時間をいただきます。
検査結果をもとに、患者さま一人ひとりに合わせた治療計画をご提案します。治療内容や期間、費用についてもしっかりご説明し、ご納得いただいたうえで治療を進めていきます。また、治療後の歯並びを3Dシミュレーションでご確認いただけます。
完成したマウスピースを装着し、定期的に通院しながら治療を進めていきます。治療中も、噛み合わせの変化やお口の状態を確認します。
治療完了後は、後戻りを防ぐための保定期間へ移行します。
長期的に安定した噛み合わせと歯並びを保てるよう、継続的なフォローを行っています。
※保定期間中も、必要に応じて経過を確認します。
※治療内容・期間・効果には個人差があります。
※インビザライン治療がすべての方に適しているわけではありません。
01
インビザライン矯正では、見た目を整えるだけでなく、噛み合わせのバランスを整え歯にかかる負担を軽減し、ご自身の歯を丈夫に長く保つ環境を整えます。当院では、歯並び・噛み合わせ・歯ぐきの状態を総合的に確認したうえで、インビザライン治療がその方に本当に適しているかを判断しています。
02
一人ひとりのお悩みにしっかり向き合い、丁寧なカウンセリングを行っています。矯正治療を始める際には、不安や疑問をしっかり解消したうえで進めていくことを大切にしています。そのため、無理に治療をおすすめすることはありません。
「インビザラインが本当に必要か」「今すぐ治療を始めるべきか」といった点も含めて、患者さまにとって最適な選択をご提案いたします。
03
口腔内スキャナーを使用し、治療後の歯並びを3Dシミュレーションで確認してから治療を開始します。「どう変わるのか」を事前に確認できるため、納得したうえで治療を進めていただけます。
04
インビザラインは、すべての方に適している治療ではありません。当院では、歯周組織の状態や噛み合わせへの影響も考慮し、長期的な安定を目指した治療を重視しています。
05
院長は、噛み合わせや歯周病に関する学会発表・講演・執筆活動を通じて、日々研鑽を続けています。
こうした知見を、日常のインビザライン治療にも活かしています。
06
矯正治療は、装置を外したら終わりではありません。治療後の保定期間やメンテナンスも含めて、長期的にお口の健康をサポートしています。
治療後も含めて、安心して通っていただける体制を整えています。
あじおか歯科クリニックでは、歯並びだけを目的とした矯正治療ではなく、噛み合わせや歯ぐきの状態、そして将来のお口の健康までを考えたうえで、その方にとって本当に必要な治療かどうかを判断しています。インビザラインは、とても優れた治療方法ですが、すべての方に適しているわけではありません。
だからこそ当院では、「今すぐ治療を始めるべきか」「他の選択肢はないか」といった点も含めて、丁寧にご説明することを大切にしています。治療を受けるかどうかは、しっかり話を聞き、納得してから決めていただきたい。
そのため、患者さまの意思を尊重したご提案を大切にしています。歯並びや噛み合わせについて、不安や疑問があれば、まずはご相談ください。あなたにとって無理のない、最適な治療を一緒に考えていきます。
治療内容に合わせて、
わかりやすくご案内します
インビザライン矯正は、歯並びや噛み合わせの状態、治療範囲によって費用が異なります。
あじおか歯科クリニックでは、検査・診断を行ったうえで治療内容と費用をご説明し、
ご納得いただいてから治療を進めています。
無 料
無 料
※矯正治療計画に基づく定期的な調整・チェックは治療費に含まれます。
11,000円(税込)
※治療前後の歯並びの3D比較シミュレーションを含みます。
286,000円 〜990,000円(税込)
※コースによって変動します。
※歯並び・噛み合わせの状態により、治療内容や費用が異なります。
無 料
※矯正治療計画に基づく定期的な調整・チェックは治療費に含まれます。
当院では、下記のお支払い方法をお選びいただけます。
・現金(金額によっては銀行振込も可能)
・クレジットカード
・デンタルローン
1年間(1月1日~12月31日)に10万円以上の医療費を支払った場合、一定の所得控除を受けられる制度が医療費控除です。
ご自身の支払いに限らず、生計を共にするご家族が支払った医療費も対象です。
詳しくは診察時にご案内します。
あじおか歯科クリニックでは、お子さまの矯正無料相談も実施しています。お子さまの歯並びの乱れは、顎の発達や口呼吸などの癖・生活習慣が関係していることがあります。
当院では、6歳〜10歳頃のお子さまにORT
(オルト)矯正を取り入れ、お口まわりの筋肉バランスや癖の改善を図りながら、健全な成長をサポートします。また、ムーシールドやインビザラインファーストなど様々な治療に対応しています。成長段階によって、適した矯正治療の内容は大きく変わります。そのため、将来の選択肢を広げるためにも、早い段階からのご相談と定期的な歯科検診をおすすめしています。実際に、「もう少し早く受診していれば、抜歯を伴う矯正を避けられたかもしれない」というお声も少なくありません。
当院では、その時期に最も適した治療をご提案し、お子さまにとって無理のない矯正治療を大切にしています。
インビザラインは誰でも受けられますか?
インビザラインは多くの症例に対応できる矯正方法ですが、歯並びや噛み合わせ、顎の状態によっては適さない場合もあります。
インビザラインは痛いですか?
痛みを感じることはありますが、一般的にワイヤー矯正に比べて痛みは少ないとされています。ワイヤー矯正は月に1回の調整で歯に強い力がかかるのに対し、インビザラインは1週間ごとにマウスピースを交換し、段階的に歯を動かしていきます。そのため、1回あたりの負担が比較的少なく、痛みがやわらぐ傾向があります。また、マウスピース型の装置のため、ワイヤーのように舌や頬に当たって口内炎ができるといったトラブルも起こりにくいのが特徴です。
治療期間はどのくらいかかりますか?
治療期間は、歯並びや噛み合わせの状態、治療範囲によって異なります。
部分的な矯正の場合は比較的短期間で終わることもありますが、全体矯正では2〜3年程度かかるケースが一般的です。
詳しい期間については、検査・診断後にご説明します。
通院の頻度はどれくらいですか?
インビザライン矯正では、おおよそ1〜2か月に1回程度の通院が目安となります。
通院回数や頻度は治療内容によって異なりますので、ライフスタイルに合わせた通院計画をご相談いただけます。
矯正中も普段どおり食事や歯みがきはできますか?
インビザラインは取り外し可能なマウスピース型装置のため、食事や歯みがきは普段どおり行えます。装置を外して食事ができるため、食べ物の制限が少なく、口腔内を清潔に保ちやすいのが特徴です。
子どもの矯正についても相談できますか?
あじおか歯科クリニックでは、小児矯正の無料相談も行っており、インビザライン以外の矯正治療も行なっております。お子さまの歯並びや顎の成長状態に合わせてベストな治療をご提案いたします。お気軽にご相談ください。
インビザラインは未承認医療機器ですか?
マウスピース型矯正装置(インビザライン)は、日本の薬機法上では未承認医療機器に該当します。
ただし、インビザラインは1998年にFDA(米国食品医薬品局)の承認を受けており、世界中で多くの症例に使用されている矯正システムです。
当院では、入手経路や安全性についてもご説明したうえで治療を行っています。
矯正治療にリスクや副作用はありますか?
矯正治療では、以下のようなリスク・副作用が生じる可能性があります。
・治療初期に痛みや違和感が出ることがある
・歯の動き方により治療期間が延びる場合がある
・歯みがきが不十分だと、むし歯や歯周病のリスクが高まる
・まれに歯根吸収や歯ぐきが下がることがある
・保定装置を使用しないと後戻りが起こる可能性がある
これらについては、治療前にしっかりご説明します。
〒470-0126 愛知県日進市赤池町屋下351-1
WEB予約・お電話から受付しております。
[WEB予約] 24時間受付:空き時間に予約できます
[お電話でのご予約] 052-806-1100
地下鉄:鶴舞線「平針駅」徒歩5分
バス:市バス「平針駅バスターミナル」徒歩5分
地下鉄:鶴舞線「平針駅」徒歩5分
バス:市バス「平針駅バスターミナル」徒歩5分